
Restore Your Smile with Advanced Dental Prosthetics


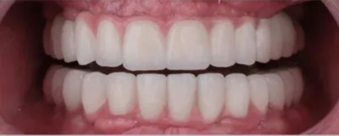
All-on-4 implants, also known as full arch implants, are a revolutionary dental technique designed to replace a full arch of missing teeth. This procedure offers a fixed, permanent solution that closely mimics the look, feel, and function of natural teeth. By utilizing four strategically placed dental implants to support a complete set of prosthetic teeth, All-on-4 implants provide exceptional stability and functionality.
A single tooth implant is a dental restoration option used to replace a single missing tooth. It offers a permanent and aesthetically pleasing solution that closely resembles the appearance and function of a natural tooth.


A fixed bridge prosthesis, also known as a dental bridge, is a permanent dental restoration used to replace one or more missing teeth. It consists of artificial teeth, called pontics, that are anchored in place by dental crowns on the adjacent natural teeth or dental implants. This creates a solid and functional bridge, restoring the appearance, alignment, and functionality of your teeth.




Complete dentures, also known as full dentures, are removable dental appliances designed to replace a full arch of missing teeth. They consist of artificial teeth set in a gum-colored acrylic base that rests on the gums and underlying jawbone. Complete dentures are custom-made to fit your mouth comfortably and restore the appearance and functionality of a natural smile.
Partial dentures are removable dental appliances used to replace one or multiple missing teeth. They consist of artificial teeth attached to a gum-colored base, which is designed to blend with your natural gum tissue. Partial dentures are custom-made to fit your mouth and can be easily removed for cleaning and maintenance

